Från kompendium neuro ped 1993 sfnr, avsnitt skrivet av Barkovich
Ang EP se https://sites.google.com/site/wikirtg/neuro-epilepsi
speciellt Hippo/Sage
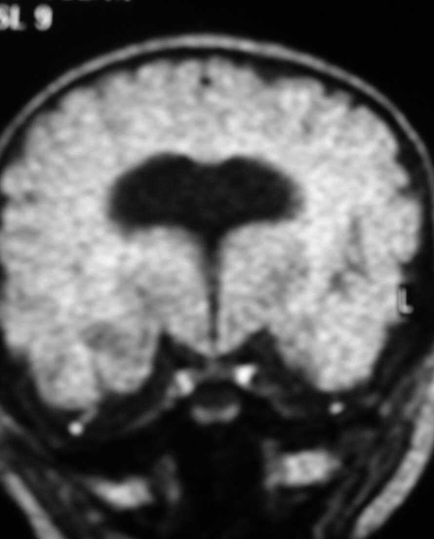
Agenesi/dysgenesi i corpus callosum.
Fynd:
Paralelleställda sidoventriklar, vidgade bakhorn. Månskäre/vikingahjälmformade sidoventriklar. Större 3dje ventrikel. Fissura interhemisfärica som sträcker sig långt ned.
Corpus callosum bildas först frontalt och därefter de dorsala delarna. Partiella agenesier innfattar således alltid bakre delen av corpus callosum, (bortsett från holoprosencefali). Axonbuntarna som skulle korsat i corpus callosum går istället längs utsidan på ventriklarna och bildar en inbuktning. Trigonum och occipitalhorn vidgas- colpocefali(gr. cleft, hollow).
Utan corpus callosum saknar 3dje ventrikeln tak och vidgas.
Alla lipom i corpus callosum och fissura interhemisfärica - förenade med missbildningar i corpus callosum/encefalocele/cutana lymfom.
Förenat med andra medellinjemissbildningar:
Arachnoidalcystor, Dandy-Walker, Heterotopier, encefalocele och colobom i gat.
Det är ofta dessa andra missbildningar som ger symptom, EP, Psykomotorisk utvecklingsförsening och hypothalamusdysfunktion.
Cefalocele=encefalocele-meningocele:
Occipital, frontoethmoidal, sphenoidal, parietal.
I kalotten orsakas dessa av defekter i slutning av suturer. I skallbasen på grund av uteblivna ossifikationscentra eller defekt i slutning.
VIKTIGT att avgöra om det finns hjärnvävnad i 'celen och relation till durala sinus. dessutom utförs undersökningen oftast för att se om det finns associerade misbildningar.
Holoprosencefali
Ingen normal uppdelning i diencefalon(thalamus/hypothalamus) och telencefalon(storhjärnan). Ingen normal uppdelning i två hemisfärer.
Olika grad av missbildning:
Alobär - pannkaksformad hjärna utan falx/fissura interhemisfärica, sammansmälta thalami, 3dje ventrikel saknas.Grava medellinjedefekter och ansiktsdefekter - hypotelorism, även cyklopi i de mest allvarliga fallen.
Semilobär - Fissura interhemisfärica finns i varje fall dorsalt.Thalamus delvis separerade, rudimentär 3dje ventrikel finns. Partiell bildning av hippocampus - rudimentära temporalhorn. Ofta finns splenium. ENDA missbildningen som kan ha en intakt splenium men inkomplett genu/corpus. Ofta hypotelorism.
Lobär holoprosencefali - relativt välutvecklat fissura interhemisfärica når fram till frontalregionen, men saknas mest rostralt. Frontalhorn hypoplastiska. liksom vid semilobär holoprosencefali kan främdre delar av corpus callosum saknas. Mer diskreta ansiktsmissbildningar kan finnas.
Septo-optisk dysplasi
Hypoplasi eller avsaknad av septum pellucidum, hypoplasi av synnerver och chiasma, bristande funktion i hypothalamus/hypofys. En del patienter har sannolikt en mild form av holoprosencefali.
Symptommässigt: nystagmus till blindhet. Kan ha hypotelorism. Tillväxthämmning.
Radiologiskt ses bortsett från ovan beskrivet ibland hypoplastiska synnerver, liten kanalis opticuskanal. 50% har schizencefali. Främre delen av falx kan vara defekt.
Patologisk migration
Störd vandring från germinal matrix invid ventriklar till korrekt plats i cortex.
Allvarligaste fallen - agyri - pachygyri eller lissencefali.
Agyri=lissencefali=total avsaknad av gyri
Pachygyri=inkomplett lissencefali= reducerat antal gyri, formförändrade.
Agyri/pachygyri ofta med retardation och mikrocefali.
Svårt sjuka: Svårbeh EP, hypoton blåsa, hypertoni i extremiteter.
Assoc: missb i ögon, öron, hjärta o njurar.