Uomo di 69 anni con voluminoso aneurisma dell'arteria ipogastrica destra
scansione TC subito sotto il carrefour aortico con evidenza delle arterie iliache comuni
e la dilatazione aneurismatica a carico dell'iliaca comune destra
fino alla biforcazione dell'iliaca comune in ipogastrica e iliaca esterna
il calibro dell'ipogastrica viene misurato 14mm
le ricostruzione TC tridimensionali
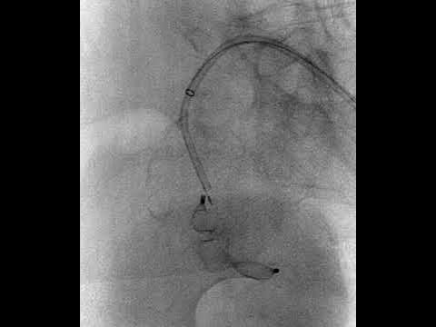
angiografia panoramica con pigtail in aorta in obliqua sinistra e selettiva dell'ipogastrica destra
ATTENZIONE il Plug non scorre dentro l'introduttore armato: catetere guida da 6F dentro l'Arrow!
solo se soddisfatti del controllo con mdc rilasceremo il dispositivo.