El tejido epitelial puede encontrarse recubriendo superficies externas (piel), revistiendo el interior de los órganos huecos (intestinos) o formando glándulas. Está compuesto por células epiteliales unidas densamente y con solo un poco de matriz extracelular (MEC) entre sí. Las células están dispuestas sobre tejido conjuntivo denso irregular, la membrana basal.
El epitelio está clasificado tanto por su morfología celular como por su número de capas celulares. Basándonos en su morfología, las células epiteliales pueden ser escamosas (planas), cúbicas o cilíndricas (columnares). Dependiendo del número de capas, el tejido epitelial puede clasificarse como simple (una capa) o estratificado (varias capas).
Fuente: Elaboración con MIRO URL: https://miro.com
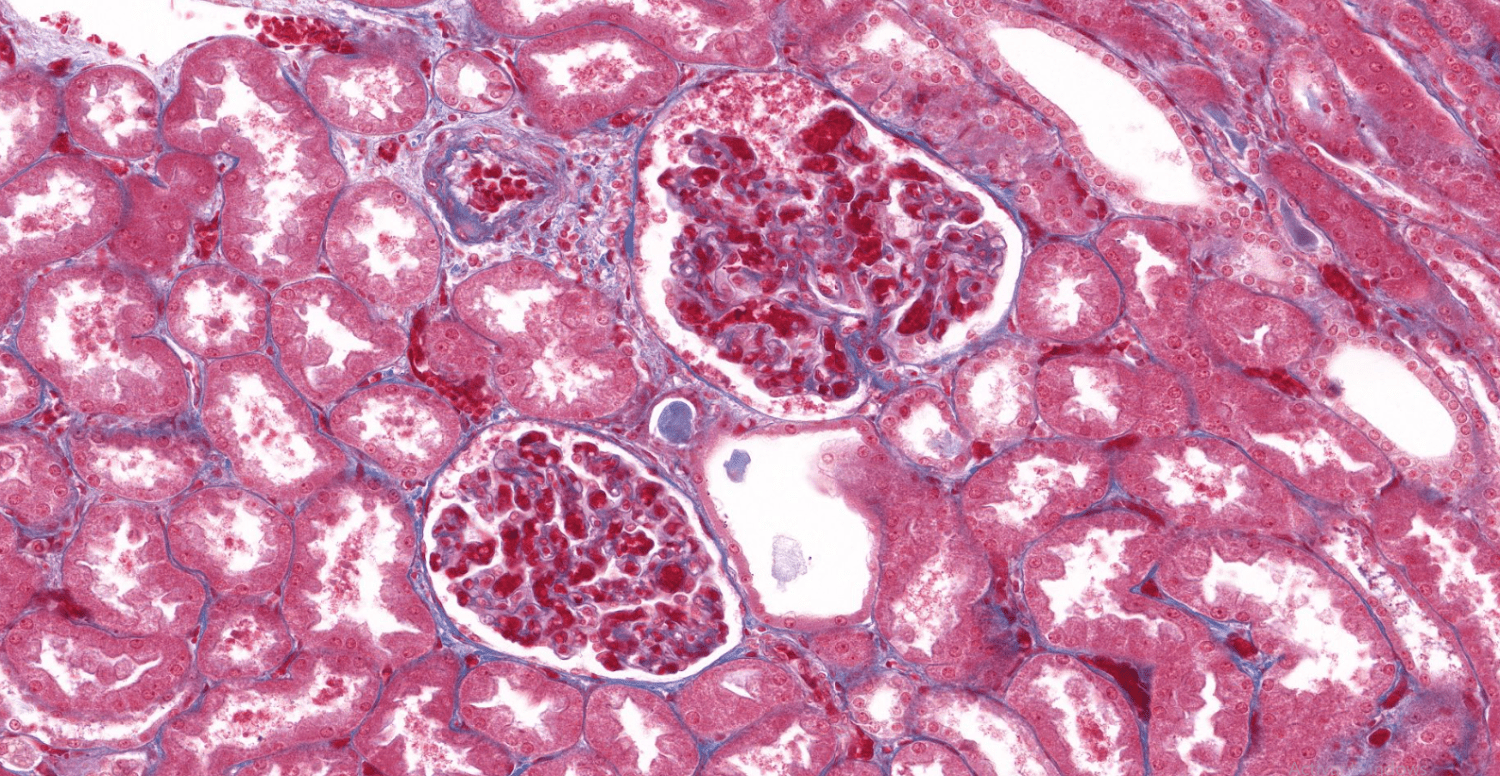
Descripción: Compuesto por una sola capa de células planas y delgadas.
Ubicación: Se encuentra en sitios donde es necesaria una rápida difusión o filtración, como en los alvéolos pulmonares, los glomérulos renales, y el endotelio de los vasos sanguíneos y linfáticos.
Función: Facilita el intercambio de gases y nutrientes, y actúa como una barrera selectiva.
Fuente Imagen: ITSHISTOLOGY URL:https://itshistology.com/wp-content/uploads/2021/09/ecs-7.png?w=1500&h=
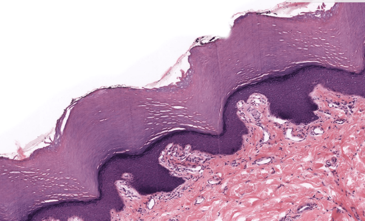
Descripción: Varias capas de células donde las más superficiales son planas y están llenas de queratina.
Ubicación: Principalmente en la piel (epidermis).
Función: Proporciona una barrera protectora contra la abrasión, la deshidratación y la invasión de patógenos.
Fuente Imagen: ITSHISTOLOGY
https://itshistology.com/wp-content/uploads/2021/09/planoe-7.png?w=1500&h=
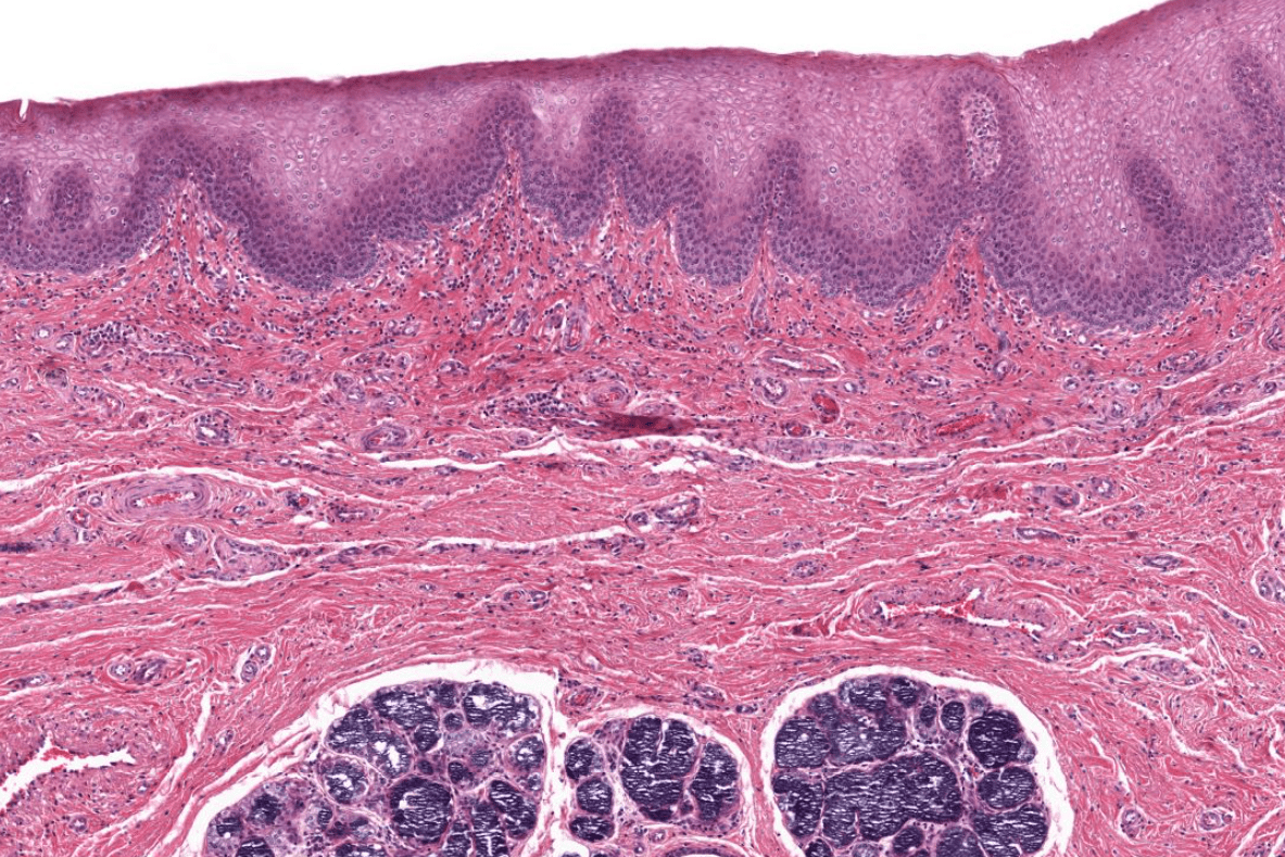
Descripción: Compuesto por varias capas de células, donde las más superficiales son planas. No presenta queratina.
Ubicación: Se encuentra en superficies sujetas a abrasión, pero que permanecen húmedas, como el esófago, la boca, la vagina y el canal anal.
Función: Proporciona protección contra el desgaste y la fricción.
Fuente Imagen: ITSHISTOLOGY
https://itshistology.com/wp-content/uploads/2021/09/planoe-3.png?w=1500&h=
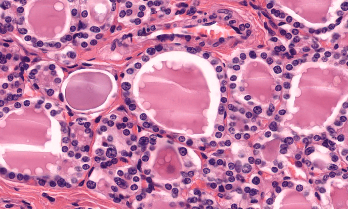
Descripción: Formado por una sola capa de células cúbicas con un núcleo central.
Ubicación: Presente en los túbulos renales, los conductos de glándulas exocrinas y la superficie del ovario.
Función: Participa en la absorción y secreción de sustancias.
Fuente Imagen: ITSHISTOLOGY
URL;https://itshistology.com/wp-content/uploads/2021/09/tiroides.png?w=1500&h=
Descripción: Compuesto por dos o más capas de células cúbicas.
Ubicación: Se encuentra en los conductos de glándulas sudoríparas y en algunos conductos de glándulas salivales y mamarias.
Función: Su principal función es la protección y, en menor medida, la secreción.
Fuente Imagen: ITSHISTOLOGY
URL: https://itshistology.com/wp-content/uploads/2021/09/planoe-3-1.png?w=2100&h=
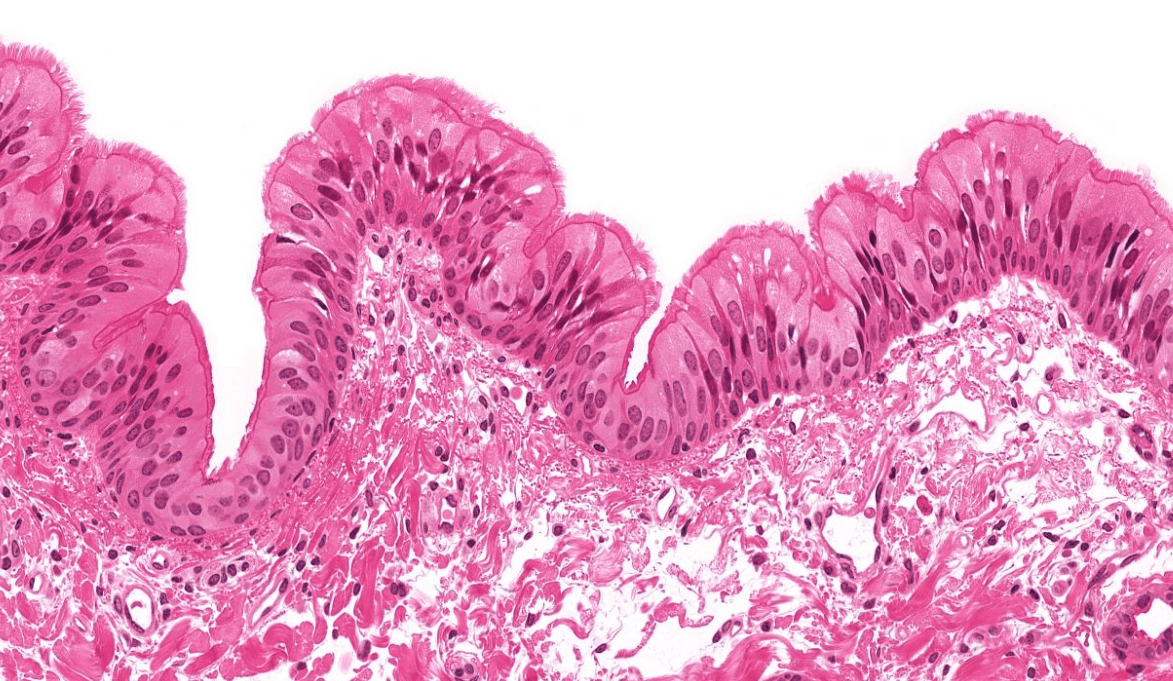
Descripción: Constituido por una sola capa de células altas y estrechas con núcleos alargados situados cerca de la base.
Ubicación: Se localiza en el tracto digestivo desde el estómago hasta el recto, y en algunos conductos glandulares.
Función: Su principal función es la absorción y secreción de enzimas y moco. Algunas células pueden tener microvellosidades (células del intestino) o cilios (trompas de Falopio).
Fuente Imagen: ITSHISTOLOGY
URL: https://itshistology.com/wp-content/uploads/2021/09/c2.png?w=2100&h=
Descripción: Compuesto por varias capas de células, donde las más superficiales son cilíndricas.
Ubicación: Raro en el cuerpo, se encuentra en algunas partes de la uretra masculina y en grandes conductos de algunas glándulas.
Función: Protección y secreción.
Fuente Imagen: SLIDESHARECDN
Descripción: Parece estar estratificado debido a la disposición de los núcleos, pero todas las células están en contacto con la membrana basal. Puede tener cilios.
Ubicación: Se encuentra en las vías respiratorias (tráquea y bronquios), y en partes del sistema reproductor masculino.
Función: Su principal función es la secreción y el movimiento de moco mediante los cilios.
Fuente Imagen: ITSHISTOLOGY
URL:: https://itshistology.com/wp-content/uploads/2021/09/t6.png?w=1500&h=
Fuente Imagen: ITSHISTOLOGY
URL:https://itshistology.com/wp-content/uploads/2021/09/ureterii.png?w=1500&h=
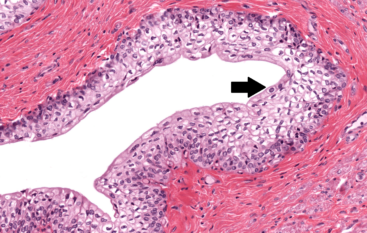
Descripción: Compuesto por varias capas de células que pueden cambiar de forma (de cúbicas a planas) en respuesta al estiramiento.
Ubicación: Exclusivo del sistema urinario, se encuentra en la vejiga, los uréteres y parte de la uretra.
Función: Permite el estiramiento y la distensión del tracto urinario.
Los flashcards presentados fueron creados en Vaia una aplicación con IA que te permitirá crear tus propias tarjetas de memoria rápidamente, ingresa en el enlace y anímate a utilizar esta herramienta de estudio, incluso para otras materias!